消化器内科、消化器外科合同で肝癌集学的治療グループを立ち上げました!
2016年4月に肝がん集学的治療グループを立ち上げて10年が経過しました。原発性および転移性肝がんに対する腹腔鏡下を含む肝切除術·局所凝固·焼灼療法、肝動脈化学塞栓療法、薬物療法を最適に組み合わせた集学的治療を行っています。2020年10月からは、1次治療の薬物療法としてレンバチニブやソラフェニブによる分子標的治療に加えて、最新の免疫ポイント阻害剤を含む複合療法 (アテゾリズマズ+ベバシズマブ、デュルバルマブ+トレメリムマブ)を導入しました。さらに2025年にはニボルマブ+イピリムマブも使用可能になりました。その結果、切除不能例が薬物療法により切除可能となるコンバージョン症例が増えてきました。
もちろんウイルス性肝炎の薬物療法や緩和ケアにも対応可能です。2025年3月までの10年間に延べ703件の肝がん治療を行い、熊本市内の基幹病院に迫る患者数であす (図1)。内訳は肝切除183例、ラジオ波やマイクロ波による局所焼灼療法180例、肝動脈化学塞栓療法340例でした。

鹿本医療圏は従来、肝がん治療がほとんど行われていなかった地域であり、この領域では地域完結型医療に近づいていると考えています。さらに多職種による「キャンサーボード」や病理医を含めた「臨床病理カンファレンス」を毎月行ない、グループ全体のレベルアップに努めています。
Ⅰ. 肝細胞癌
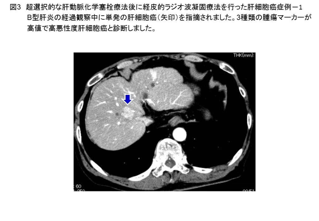
肝細胞癌に対する肝切除、局所焼灼療法、肝動脈・門脈塞栓療法、薬物療法のすべてに対応可能です。血管造影下治療や薬物治療については別項を参照ください。肝移植や放射線治療は熊本大学附属病院と連携して行っています。局所焼灼療法は経皮的な手技ばかりでなく、腹腔鏡や胸腔鏡による治療が可能なことが特徴です(図2)。超選択的な肝動脈化学塞栓療法後に経皮的ラジオ波焼灼療法を行った高悪性度肝細胞癌症例(図3, 4)を提示します。効果判定は、造影エコーや造影CTによる3次元画像により確実に行います。最近、肝動脈門脈短絡を伴う巨大肝細胞癌に対する肝動脈化学塞栓療法とレンバチニブによる分子標的治療後のコンバージョン肝切除症例を経験し、報告しました (Sato N, Beppu T, et al. Anticancer Res 2019) (図5-10)。肝切除後に100万を超える腫瘍マーカー (AFP)は正常化しました。C型肝炎の治療も終了し、治療開始後7年間再発なく元気にされています。このような肝癌の薬物療法施行例も年々増加しています(図11)。
2017年に腹腔鏡肝切除の施設認定を取得し、高難度手術を含めた腹腔鏡肝切除を積極的に行っています(図12)。その他に肝切除例としては、緊急の肝動脈化学塞栓療法後に肝切除を行った症例(図13-16)や門脈塞栓術後に肝切除を行った大型肝細胞癌症例を経験しました(図17-19)。いずれも経過は極めて良好です。肝切除の適応決定時には、3次元画像解析シナプスVINCENTTMによる肝体積評価やアシアロSPECT-CT 融合画像による機能的肝体積評価を行い、より安全な手術を目指しています(図20)。
図11 肝がんに対する薬物療法症例数の年次別推移

Ⅱ.転移性肝癌
2020年4月から、従来の熊本大学附属病院 外来化学療法センター長の陶山浩一先生に替わって、消化器内科の宮本英明先生に薬物療法を担当していただいています(図21)。宮本先生も熊本県では数少ない「がん薬物療法専門医」の資格をお持ちです。特に大腸癌肝転移では最近の化学療法や分子標的治療の進歩により、切除不能症例が高率に切除可能になることが知られています。異時性の大腸癌肝転移、肺転移症例に対して、化学療法後に肝切除と肺切除を行った症例を提示します(図22-25)。初回治療から約6年経ちますが、無病生存中です。この症例は玉名地区からのご紹介であり、県北でのコラボレーションが進んでいます。進行度によっては大腸癌の原発巣、肝転移巣ともに腹腔鏡下の同時切除が可能です(図26)。大腸癌肝転移治療症例数は順調に増加しつつあり、長期生存例も経験しています(図27)。
図21 消化器がん化学療法件数の年次別推移

図27 大腸癌肝転移手術件数の年次別推移

Ⅲ.肝がん集学的治療外来
肝がんに関するご相談は、月曜~金曜の消化器内科外来あるいは月曜、水曜、金曜の外科外来の受診をお願いします。肝臓専門医·指導医の対応が可能です。金曜は宮本英明医師による化学療法外来を行っています。電話によるご相談も随時、受け付けております。
(文責:別府 透)






















