ごあいさつ

2016年に肝胆膵外科を立ち上げて10年が経過しました。従来の消化管、一般外科に加えて、肝胆膵外科領域の画像診断、内視鏡治療、手術が可能となりました。日本肝胆膵外科学会高度技能指導医と日本内視鏡外科学会技術認定医が常勤しており、低侵襲手術から高難易度手術まで施行しています。特に肝臓領域の手術数は熊本県で第4位です。

2024年4月には熊本地域医療センター外科部長の増田稔郎医師を外科長として迎えました。増田医師は肝胆膵外科手術のエキスパートであり、肝胆膵外科の陣容は着実に進化しています。

肝胆膵がんに対する外科手術に加えて、薬物療法や肝癌に対する焼灼療法や肝動脈化学塞栓療法、にも積極的に取り組んでおり、治療患者数は年々増加しています。特に最近では切除不能症例が薬物療法後に切除可能となるコンバージョン症例が増加しています。

主な診療内容・検査

  • 画像診断
  • 内視鏡治療
  • 血管造影下治療
  • 外科手術  など

肝胆膵疾患の外来

診断と内視鏡治療は月曜~金曜の消化器内科外来の受診をお願いします。
手術治療は月曜、水曜、金曜の外科外来の受診をお願いします。増田(水、金)、別府(月、金)が担当です。切除可能性や薬物療法の適応に迷われる場合はどちらにご紹介されても大丈夫です。
薬物療法のご相談は、金曜の宮本英明医師にお願いします。

(文責:別府 透)

肝胆膵外科での取り組み ※手術・処置画像を含む場合があります

Ⅰ.肝胆膵疾患の画像診断

造影超音波、64列のMD-CT、1.5TのMRI、コーンビームCT付きの血管造影装置による最新の画像診断が随時施行可能です(図1)。加えて肝臓手術には必須の3次元画像解析システムボリュームアナライザー SYNAPSE VINCENT™による血管の3次元画像の構築や肝臓の切除体積評価が可能になりました(図2)。

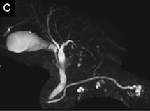
図1 MRIによるMRCP画像

胆嚢、胆管、膵管の3次元画像が造影剤を使用せずに撮像可能です。

  • A.胆管癌
  • B.肝内胆管癌
  • C.膵臓の嚢胞性腫瘍

図2 VINCENTによるシミュレーション画像

肝臓や脈管の3次元的な描出が可能です。
肝臓の門脈がピンク色に、肝静脈が青色に、肝転移巣が緑色に描出されています (A)。
さらに肝切除予定領域が緑色と黄色で示されています (B)。

  • シミュレーション画像:肝臓の門脈がピンク色に、肝静脈が青色に、肝転移巣が緑色に描出されている
  • シミュレーション画像:肝切除予定領域が緑色と黄色で示されている

Ⅱ.肝胆膵疾患の内視鏡治療

消化器内科の内視鏡専門医による内視鏡的胆管・膵管造影や内視鏡エコーによる胆道・膵臓系の精密検査を施行できます(図3)。
さらに総胆管結石のほとんどは内視鏡的治療が可能となりました(図4)。

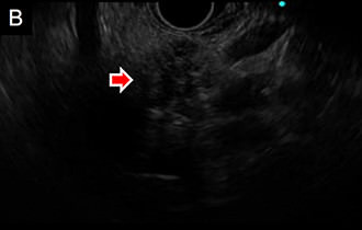
図3 超音波内視鏡像画像

体外からの超音波では描出不能な胆道・膵臓の疾患の詳細な描出が可能です。
A. 膵癌を疑う病変を認め、針生検を行い確診を得ました (↓)。
B. 血管との関係が明瞭に描出できます。

  • 超音波内視鏡像画像:膵癌を疑う病変を認め、針生検を行い確診を得ました
  • 超音波内視鏡像画像:血管との関係が明瞭に描出できます

図4 総胆管結石の内視鏡治療

総胆管結石の内視鏡的な完全除去が可能でした。
A. 内視鏡的胆管造影で複数の総胆管結石を確認しました (↓)。
B. 乳頭切開を行い、全結石を除去しました。

  • 内視鏡治療画像:内視鏡的胆管造影で複数の総胆管結石を確認
  • 内視鏡治療画像:乳頭切開を行い、全結石を除去

Ⅲ.肝胆膵疾患の外科手術

肝胆膵疾患に対する高難易度手術の専門医である日本肝胆膵外科学会高度技能指導医と腹腔鏡外科手術の専門医である日本内視鏡外科学会技術認定医が常勤しており、肝切除や膵切除などの肝胆膵領域の高度技能手術が可能です(図5−9)。
進行例には導入化学療法後の拡大手術を、比較的早期の肝癌や低悪性度の膵腫瘍に対する腹腔鏡での手術を行っています(図10)。
肝切除に関しては肝癌集学的治療の項をご参照ください。

図5 膵体尾部切除と術後化学療法を行った膵癌症例

膵体部に主膵管の閉塞を伴う膵癌を認めました(矢印)。リンパ節郭清を伴う膵体尾部切除と術後化学療法を行い、約8年間無再発生存中です。

  • A.MRIによる膵管造影
  • B.内視鏡エコーによる膵腫瘤像
  • C.切除標本

図6 門脈塞栓術後に拡大右肝切除を行った肝門部胆管癌-1

A.入院時造影CTで右胆管優位の肝門部胆管癌を認めました(矢印)。
B.C.左胆管のドレナージのみでは減黄できなかったため、3本の内視鏡的胆管ドレナージ(ERBD)を挿入しました(矢印)。

  • 78歳、女性、総ビリルビン 11.4 mg/dl

図7 門脈塞栓術後に拡大右肝切除を行った肝門部胆管癌-2

右門脈塞栓術後に右門脈は完全に閉塞しており、残肝体積は34%から42%に増大しました。

  • 門脈塞栓術前の内視鏡画像 門脈塞栓術前
  • 門脈塞栓術後の内視鏡画像 門脈塞栓術後

図8 門脈塞栓術後に拡大右肝切除を行った肝門部胆管癌-3

右肝切除+尾状葉全切除+肝外胆管切除・リンパ節郭清+胆管空腸吻合を行いました(手術時間8時間40分、出血量 700g、無輸血)。
組織学的な治癒切除が得られました。

図9 門脈塞栓術後に拡大右肝切除を行った肝門部胆管癌-4

治療経過と総ビリルビン値の推移を示します。内視鏡的ドレナージにより速やかに減黄しました。
術後は順調で5年無再発生存中です。

治療経過と総ビリルビン値の推移グラフ

図10 肝胆膵疾患の腹腔鏡手術

腹腔鏡下の肝切除術、膵切除術ともに拡大視効果と気腹圧によって出血量が減少することが多施設の大規模試験で確認されました。さらに術後合併症の減少や在院日数の短縮が可能です。

  • A.腹腔鏡肝切除の術中写真
  • B.腹腔鏡膵切除の術中写真
  • C.完全腹腔鏡下肝切除の術創