放射線科とは

専門チームによる安心の放射線診療

放射線科は、放射線科長(泌尿器科医)をはじめ、診療放射線技師7名、事務員1名(午前のみ)の計9名体制で業務を行っています。
令和7年度より、熊本大学病院 画像診断科・治療科と遠隔画像診断を結んでおり、専門医による読影レポートを迅速に提供しています。
放射線を扱う専門部門として安全管理に努め、被ばく低減にも充分留意しております。検査に対する疑問、放射線に関する不安な点等ございましたらお気軽にお声がけください。

また当科では、MRI・CTの共同利用を積極的に受け入れております。
専従の診療放射線技師が、装置の特性を活かした診断能の高い画像を提供いたします。必要に応じて当日、急性の疾患にいち早く対応できるよう心掛けております。また、読影レポートを翌日までにFAX・郵送にて紹介元にお届けいたします。

CT

CT装置を大幅にグレードアップ

当施設では地域医療の充実を図るため、令和4年9月に県内初となるCanon社製「Aquilion ONE nature edition(320列マルチスライスCT)」を導入しました。320列の検出器を備え、従来の64列CTに比べ大幅に性能が向上。被ばくを抑えながら短時間で高精細な撮影が可能となり、検査精度が向上するとともに、患者さんの負担も軽減されています。

CT装置の写真

特徴

  1. Deep Learning Reconstruction (AiCE)
    AI技術のアプローチの1つである、Deep Learningを用いて設計した画像再構成技術で、分解能を維持したままノイズを選択的に除去することができます。本技術により、高品質な画像を低線量かつ短時間で提供することが可能となりました。
  2. 高速撮影
    胸部~骨盤までの撮影を2秒で終えることができる高速撮影モードが選択できます。息止め不能な方や体動のある患者さんに有用です。 また、wide volume撮影を用いることで心臓の検査ではブレの少ない高画質な画像の提供、四肢関節ではアーチファクトの少ない高分解能な画像を短時間で得られるようになりました。
  3. 低管電圧撮影
    従来の120kVp撮影に加え、80kVpの選択が可能となりました。低管電圧を用いることで、造影剤のコントラストを増強することができ、腎機能が悪い方には40%程度減量した少量の造影剤で検査することも可能です。
  4. 金属アーチファクト抑制技術 (SEMAR)
    手術で金属を埋め込まれている患者さんの金属アーチファクトの低減が可能となり、従来は評価しづらかった金属周囲が、より見やすく評価しやすくなりました。
  5. Silver Beam Filter
    銀(Ag)のフィルターを用いることでX線内の低エネルギー成分を低減し、被ばくを大幅に抑制します。従来と比較して約1/7の被ばく線量で検査が可能となり、胸部一般撮影に近い被ばく線量での、高品質な低ノイズ肺がんCTスクリーング検査の提供を目指します。

閉塞性動脈硬化症(ASO)に対する下肢CTangio、肺梗塞・深部静脈血栓症の精査、外傷全身CT、狭心症疑いに対する心臓CT、外科術前精査など各科からの依頼に迅速に対応しております。
また、CTの更新に伴い3次元画像解析ワークステーションsynapseVINCENTを最新版にバージョンアップしました。 FUJIFILM独自のAI技術を搭載し、自動抽出機能が充実したことで、整形領域をはじめ、冠動脈解析、肝切除術前シミュレーション、大腸癌術前CTcolonographyにおいて、より短時間で高精度な3D解析ができるようになりました。

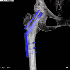
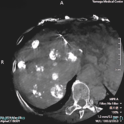
CTの検査画像例

MRI

PHILIPS社製Ingenia 1.5TMRIを使用しています。開口径が従来の装置より広いワイドボアタイプとなり、より圧迫感の少ない、患者さんに優しい検査環境を実現できます。また、世界初のデジタルコイルを採用しており、ノイズが少なく診断能の高い画像が得られるようになりました。

MRI装置の写真
MRI装置の写真

新しい技術として、体動補正技術(MultiVane)や金属アーチファクト抑制技術(MARS)が使えるようになり、画質が格段に改善しております。
また、これまでの呼吸同期に加え、横隔膜の動きをリアルタイムに観察できるNavigator echo法が使えるようになり、肝臓領域やMRCP検査においてより高精細な同期撮影が可能となりました。
また、全脊椎検査やDWIBSなど以前の装置では多くの時間を費やしていた広範囲の検査に対して特にスループットが向上し、以前よりも短時間での検査が可能となりました。

MRIの検査画像例

血管造影装置

最新型の血管造影装置を導入

令和5年11月に最新型の血管造影装置 Alphenix Sky+ (Canon社製)を導入しました。
この装置は、天井走行式Cアームに12×16インチの大視野FPDを搭載しており、腹部だけでなく全身の様々なカテーテル検査への対応が可能です。また、短時間撮影を可能とする、高速Cアーム回転性能を搭載しており、動体ボケや造影剤量を最小限に抑えます。

  • 最新型の血管造影装置の写真
  • 最新型の血管造影装置の写真
  • 最新型の血管造影装置の写真
  • 最新型の血管造影装置の写真

特徴

  1. Dose Tracking System (DTS)
    入射皮膚線量をリアルタイムに算出し、仮想患者モデル上にカラーマッピングします。手技中は局所の最大入射皮膚線量(Peak Skin Dose)を表示します。DTSを参考にしながら手技中に患者さんの被ばくを意識することで、放射線皮膚障害のリスク低減に寄与します。
  2. 3D-Roadmap/Multi Modality Roadmap
    手技中に撮影した3D画像を透視像に重ね合わせたロードマップが可能です。Cアームの回転やカテーテルテーブルの移動にも追従し、進むべき道筋を示します。さらに、術前のCTやMRIで得られた画像をリアルタイムに透視像と重ね合わせ、ロードマップとして活用できます。
  3. Embolization Plan
    腫瘍に対する栄養血管候補を描出するアプリケーションです。腫瘍とカテーテル先端を指定すると、栄養血管がトラッキングされます。このトラッキングされた栄養血管を透視画像上にフュージョンさせ、ロードマップにすることで塞栓時のナビゲーションとしても使用できます。

画像処理機能も従来装置に比べて大きく進化しており、患者さんの被ばくを低減しつつより高画質な画像が得られます。さらに、この装置ではAlphaCTと呼ばれる3D撮影により、高い濃度分解能を有したコーンビームCT画像の再構成が可能です。これにより、血管内治療に求められる画像を最適に表示します。

血管造影装置の検査画像例

血管造影装置の検査画像例
血管造影装置の検査画像例

マンモグラフィ

マンモグラフィ装置の写真
マンモグラフィ装置の写真

痛み軽減と精度向上に配慮した新型機器

令和3年3月にデジタルマンモグラフィ装置(Canon社製Pe・ru・ru DIGITAL)を新しく導入しました。
これまで使用していたCR型マンモグラフィ装置と比べ、撮影した画像を3~5秒ほどで確認することができるため、検査時間を大幅に短縮することができます。
そして、Canon独自の「美圧」システムで圧迫時の痛みを軽減、「フラットアームレスト」で転倒を防止しつつ大胸筋の緊張を緩和することでより圧迫時の痛みの軽減と画質の向上、X線被ばくの低減が可能となりました。
また、装置の更新に伴いフイルム診療からモニタ診療に変更となりました。高精細(500万画素)モニタであるため微細な病変も確認でき、淡い病変や乳腺と重なった病変も特定しやすくなりました。

認定技師と女性技師による安心の乳がん検診

当施設では、マンモグラフィ認定技師が2名在籍しており、乳がんの早期発見、精度管理に努めています。また、現在女性の診療放射線技師が在籍しており、より安心できる検査環境を整えています。女性技師をご希望される方は事前にご連絡ください。

乳がんの検査画像例

  • 両側性浸潤性乳管癌(右)
  • 両側性浸潤性乳管癌(左)

骨密度測定装置

GEヘルスケア製の骨密度測定装置(PRODIGY Fuga-C)を使用しています。
腰椎・大腿骨近位部の2ヵ所を被検者の体勢を変えることなく3、4分程度で測定することができます。また、2ヵ所同時測定時のX線入射線量は胸部レントゲンの約1/6程度ととても少なく抑えられ、高画質な画像の提供が可能です。
従来のものより低被曝で患者さんに優しい骨粗鬆症の診断が行えます。

骨密度測定装置の写真

その他医療機器

  • X線透視装置
  • 一般撮影装置 2台
  • 回診用X線撮影装置
  • 外科用イメージ 3台

共同利用については、こちら (CT・MRIの共同利用について) をご参照ください。